AN INDEPENDENT PRACTICE PROVIDING THE BEST VETERINARY CARE FOR HORSES & PONIES
TEL: 01823 673215
AN INDEPENDENT PRACTICE PROVIDING THE BEST VETERINARY CARE FOR HORSES & PONIES
We are proud to offer an independent, practical and affordable service to our clients. Our team here are passionate about all types of equine disciplines, ranging from racing, sport horse, hunting and pleasure horse and ponies. We offer a mobile service, visiting your stable or premises, but also have a prime base for clients to visit for more specialised treatments, including surgeries and in-patient care.
We provide our own reliable and experienced out of hour’s service to our clients in the case of an emergency.
Please don't hesitate to contact the office if we can support you with a referral from another practice to compliment their service.
We are committed to providing a professional, compassionate and personal service.

In the event of an emergency a vet will always be available to offer advice and provide prompt veterinary attention for your horse at your premises.
We have a close relationship with referral hospitals which enables us to hospitalise if necessary and give the best care.

Our ambulatory vets provide a comprehensive range of services available at your premises, most notably vaccinations, minor ailments, lameness examinations, routine examinations and dentistry.
Treatment of medical conditions and emergency treatments for wounds, colic and other injuries. Minor surgical procedures such as castration and wolf teeth removal can also be done at your yard.

We strongly recommend a pre-purchase veterinary examination.
A pre-purchase vetting will not only identify any existing health problems but may also identify potential problems that may occur in the future. Our vets have a very practical approach to arising issues during vetting and are able to work with clients to ensure the best outcome.

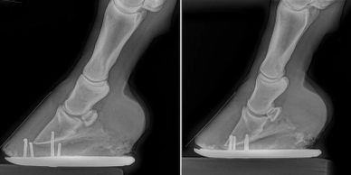
Radiographs, commonly known as x-rays, are often taken during lameness exams to visualise the bones and joints. Portable digital systems (DR) are mostly used for lower limb examinations and are especially useful if it is difficult or unsafe to travel an injured horse. This can be done in your yard.

Endoscopy is primarily used to evaluate the respiratory tract and stomach. It is particularly useful in assessing horses with respiratory problems and recurrent colic or poor performance.

We are able to carry out a full range of stud-work. From advice on breeding your mare to Artificial Insemination with chilled or frozen semen, pregnancy scanning, health tests and certifications and post foaling checks and advice

We provide a modern approach to all aspects of equine dentistry. Routine dental care combined with advanced dental techniques enable us to help you maintain your horse’s oral health to the highest standard.

Gastroscopy describes a complete examination of the two lining tissues of the horses stomach using a 3.5m flexible video-endoscope. It is performed under light sedation and images are captured at specific points around the stomach and are graded and defined by type.

This is routinely used for diagnosing and monitoring soft tissue injuries, particularly in the lower limb.
Ultrasound scans are also used to support our stud work.

All horses born after 30 June 2009 are already required to be microchipped.
Owners of horses born before this date will have two years from 1st October 2018 to get their equines microchipped, meaning that ALL horses, regardless of their date of birth, will have to be microchipped from 1st October 2020.


Please be aware that the passport for your animal must be kept up to date & signed NOT for human consumption if any relevant drugs have been administered.
As an addition to our standard vaccination service we can offer monthly text message reminders. Please note that it is the responsibility of the owner to check vaccinations are up to date as computer & human error can occur.
Copyright © 2026 Dilliway & Bosley Equine Veterinary Practice Ltd - All Rights Reserved.
Limited company incorporated in England & Wales registration number 12620457 | VAT registration number 351 0064 48
We use cookies to analyze website traffic and optimize your website experience. By accepting our use of cookies, your data will be aggregated with all other user data. Privacy Policy